找回密码
 立即注册

微信登录

搜索
热搜: 活动 交友 discuz
查看: 2835|回复: 4

【惊讶】阆中一女子胆管内长出巨型结石 直径约7厘米重约...

[复制链接]

1万

主题

135

回帖

4万

积分

论坛元老

积分
41130
发表于 2022-7-19 14:28:01 | 显示全部楼层 |阅读模式 | 来自四川
本帖最后由 芒果 于 2022-7-19 17:39 编辑

阆中市人民医院完成一例罕见巨大胆道结石手术






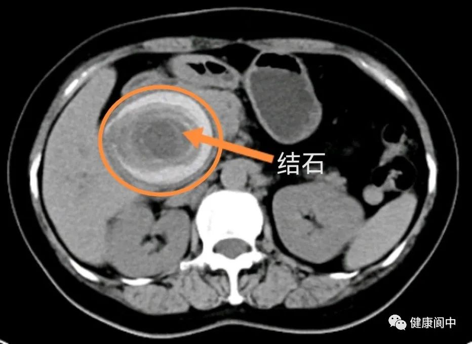
家住阆中双龙镇的秦女士最近半年反复被肚子疼所困扰,起初自以为是胃病,自己在家“中药”“西药”轮着吃,腹痛均不见减轻,后来到阆中市人民医院检查。检查结果把她本人和医生都吓了一大跳,胆管里面竟然有一个鸵鸟蛋大的石头。正常胆管只有6mm左右粗,然而,她胆管内石头却有约7cm粗。如此大的胆管结石,目前国内外几无报道。

142731rfdogloiv65rc9hl.jpeg

巨大的结石以及长期的慢性炎症刺激对周围脏器及肝门大血管挤压导致粘连及解剖异常,加之患者曾做过开刀胆囊切除手术,给本次手术带来巨大的难度和风险。经过详细的术前讨论和规划,由黎万里副主任医师和龚文主治医师成功为患者行了腹腔粘连松解+胆管切开取石+胆道镜检查+肝外胆管切除+肝门胆管整形+胆肠Roux-en-Y吻合术,手术历时4小时,出血仅50ml。术后在医护团队精心照顾下,患者恢复顺利,目前已出院。

142731femuuok0qaalqukp.jpeg

来源:人民医院

回复

使用道具 举报

大阆中网友
大阆中网友  发表于 2022-7-19 20:57:18 | 来自四川
这个得忍受多大的痛苦啊
回复 支持 0 反对 0

使用道具 举报

6

主题

973

回帖

2425

积分

金牌会员

积分
2425
发表于 2022-7-19 22:08:15 来自手机 | 显示全部楼层 | 来自四川
太痛苦了
回复 支持 反对

使用道具 举报

4

主题

845

回帖

2181

积分

金牌会员

积分
2181
发表于 2022-7-20 10:03:31 来自手机 | 显示全部楼层 | 来自四川
这个结石大的有点很,不知患者怎样忍着痛的。
回复 支持 反对

使用道具 举报

60

主题

1562

回帖

4654

积分

论坛元老

积分
4654
发表于 2022-7-20 12:19:46 来自手机 | 显示全部楼层 | 来自四川
为高超医术点赞,希望患者早日健康。
回复 支持 反对

使用道具 举报

您需要登录后才可以回帖 登录 | 立即注册

本版积分规则

QQ|手机版|小黑屋|大阆中 ( 蜀ICP备2020031798号 )

川公网安备 51138102000094号

川公网安备 51138102000094号

GMT+8, 2026-1-18 13:56 , Processed in 0.290817 second(s), 27 queries .

Powered by Discuz! X3.5

© 2001-2026 Discuz! Team.

快速回复 返回顶部 返回列表